Папиллярная карцинома щитовидной железы
Несколько лет назад у пациентки была выполнена операция по поводу узлового зоба в объеме удаления правой доли щитовидной железы. На контрольном осмотре в поликлинике у пациентки выявлен узел в оставшейся доле щитовидной железы размерами до 30 мм. Эндокринологом поликлиники рекомендована биопсия узла правой доли щитовидной железы.

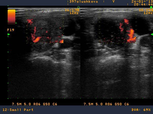
В Северо-Западном региональном эндокринологическом центре выполнена тонкоигольная аспирационная биопсия узла левой доли щитовидной железы. По результату биопсии щитовидной железы выявлена "Папиллярная карцинома щитовидной железы". Пациентке предложена операция, удаление левой доли щитовидной железы.
Под эндотрахеальным наркозом, с использованием специальных увеличивающих луп, нейромонитора для визуализации возвратного гортанного нерва, пациентке уделена левая доля щитовидной железе. Послеоперационный период протекал без осложнений.
Послеоперационное гистологическое заключение: Мультифокальная папиллярная карцинома Tall Cell вариант и папиллярная карцинома, макрофолликулярный вариант левой доли щитовидной железы с инвазией капсулы последней.

С учетом полученного гистологического заключения пациентке показана терапия радиоактивным йодом.
Более подробно о лечении радиоактивным йодом http://thyroid-info.ru/lechenie/radioaktivnyy-yod/