УЗИ фотографии узлов
Узлы в щитовидной железе по УЗИ можно найти у более чем половины жителей нашей страны. В данном разделе можно посмотреть как выглядят узлы по УЗИ, какой кровоток в узлах, как выглядят злокачественные и доброкачественные узлы, что стали делать с конкретным узлом. По данным УЗИ щитовидной железы можно рассказать о размере узла, его кровотоке и контурах. Важно отметить, что по УЗИ нельзя ставить окончательный диагноз - рак или не рак в щитовидной железе. Только по данным биопсии можно судить о доброкачественности или злокачественности узла в щитовидной железе.

Узлы щитовидной железы - Фолликулярная опухоль

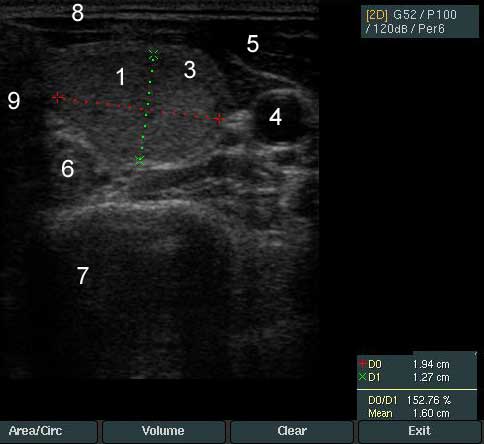
У пациентки 35 лет выявлен узел левой доли щитовидной железы. На снимках цифровые обозначения соответствуют следующим структурам
1. Узел щитовидной железы - Размер узла 1,9 на 1,2 на 2,4 см.
2. Ткань щитовидной железы
3. Ободок узла щитовидной железы (ободок Halo)
4. Сонная артерия
5. Короткие мышцы шеи, которые находятся перед щитовидной железой
6. Пищевод
7. Позвоночник
8. Кожа и подкожно-жировая клетчатка
9. Трахея
Кровоток в узле
Узел по структуре изоэхогенный с четкими контурами и ободком Halo. По данным допплеровского исследования кровоток в узел смешанного типа - перинодулярный и интранодулярный.

В связи с тем, что размер узла более 10 мм, пациентке предложена тонкоигольная аспирационная биопсия.
Под контролем УЗИ выполнена биопсия узла щитовидной железы.
По результату биопсии узла щитовидной железы получен ответ "Фолликулярная опухоль".
Фолликулярная опухоль щитовидной железы является показанием к оперативному лечению.
Пациентке предложено пройти лечение в Северо-Западном региональном эндокринологическом центре по полису ОМС (бесплатно).
Планируемый объем операции - удаление левой доли щитовидной железы с последующим гистологическим исследованием. Более подробно об операциях на щитовидной железе по ссылке на портале Thyroid-info.ru