Фолликулярная опухоль щитовидной железы
возникает в результате повышенной выработки тиреотропного гормона передней частью эндокринного органа. Существуют предположения, что патологические изменения образовываются на фоне дисфункции нервной системы. В течении нескольких десятилетий значительно улучшились и расширились диагностические методы:
  • использование ультразвукового исследования (УЗИ);
  • аспирационная биопсия (взятие пункции тонкой иглой);
  • цитологические исследования патологических нарушений.

Зависимо от степени опухоли и классификации цитологических показателей, выделяют минимальную инвазию и массивную экспансию щитовидки с нарушением нервных окончаний гортани, трахеи, желудочно-кишечного тракта.
Фолликулярная опухоль щитовидной железы
Благодаря новым методам лечения, прописанным в международных протоколах фолликулярная опухоль щитовидной железы излечима и врачи чётко знаю, что значит данный вид онкологии.
Сегодня рак — это не приговор. И тому существует множество подтверждённых на практике примеров.
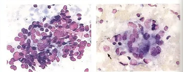
Цитологическая картина фолликулярной опухоли щитовидной железы
Подозрение на фолликулярная опухоль может возникнуть при жалобах пациента на хроническую усталость, сонливость, раздражительность, забывчивость, повышение артериального давления, хрипоту в голосе. Основа профилактических мероприятий заключается в своевременности выявления патологии, систематическом прохождении медицинских осмотров, особенно пациентам входящих в группу риска.

Комбинация факторов риска, связанных с классификацией патологических изменений в области щитовидной железы, вошла в разработку прогностических шкал. Однако, прогнозы основываются на результатах тщательного обследования морфологический характеристик опухоли.

Фолликулярная опухоль в большинстве случаем бывает доброкачественной, увеличение происходит на фоне продуктивной выработки тиреоидных гормонов, инвазии в капсулу и сосуды щитовидки, а также метастазирование не наблюдается. Однако это не исключает постоянного наблюдения у врача-эндокринолога, а при необходимости и у хирурга-эндокринолога. Контроль поможет минимизировать прогрессию опухоли и её переход в более сложную форму.

Фолликулярная карцинома без ядерных признаков, может быть более агрессивной, имеет склонность к гематогенному метастазированию. Важным аспектом в классификации рака является цитологическое определение опухоли по показателям анализа исследуемых частичек ткани с помощью проведения биопсии ТАПБ.
Диагностика фолликулярной опухоли щитовидной железы
Лечение фолликулярной опухоли щитовидной железы
Интерпретации цитологических исследования в определении тактики лечения основаны на исключении значений риска. Поэтому, перед назначением терапии проводится оценка злокачественности опухоли на молекулярном уровне.
Методы лечения
  • хирургическое вмешательство в комплексе с лучевой терапией;
  • комбинированная предоперационная и послеоперационная терапия;
  • комплексная тактика: лучевая, гормональная терапия, операция.
Прогноз при фолликулярном раке щитовидной железы
Хирургический метод по удалению узлов и опухоли применяется в лечении патологических изменений в эндокринной системе с явными признаками агрессивного распространения, включая процесс метастазирования.

Предоперационный прогноз в развитии онкологического заболевания щитовидной железы, позволяет индивидуализировать тактику лечения, включая:
  • ограничение количества неоправданных операций;
  • снижение денежных затрат в послеоперационный период ремиссии;
  • минимизацию рисков связанных с удалением патологических тканей;
  • повышение качества жизнедеятельности пациентов с узлами на ЩЖ;
  • ограничение в применении терапии гормональными препаратами.

Современная стратегия в борьбе с онкологическими заболеваниями базируется на комплексном подходе, индивидуальных тактиках в решении проблем связанных с возникновением раковых опухолей в области щитовидки. Оперативное вмешательство в некоторых случаях является наиболее правильным решением. Частичное или полное удаление щитовидной железы проводится после тщательного изучения и анализа диагностических данных. Длительность операции зависит от сложности патологических изменений с учетом классификации опухоли.

Курс «Щитовидная железа: болезни и здоровье»
Современные методики по английскому забору пункции тончайшими иглами, позволяют уменьшить количество хирургических операций, практически на половину. При этом, цитологические исследования обладают высокой чувствительностью к выявлению злокачественных процессов. ТАПБ представляет собой быстрый и информативный метод диагностики с последующим заключением врача эндокринолога и назначением своевременного лечения.